الكاتب : النهار
التاريخ: ٢٨ أغسطس-٢٠٢٤       29260

النهار - موضي العمراني
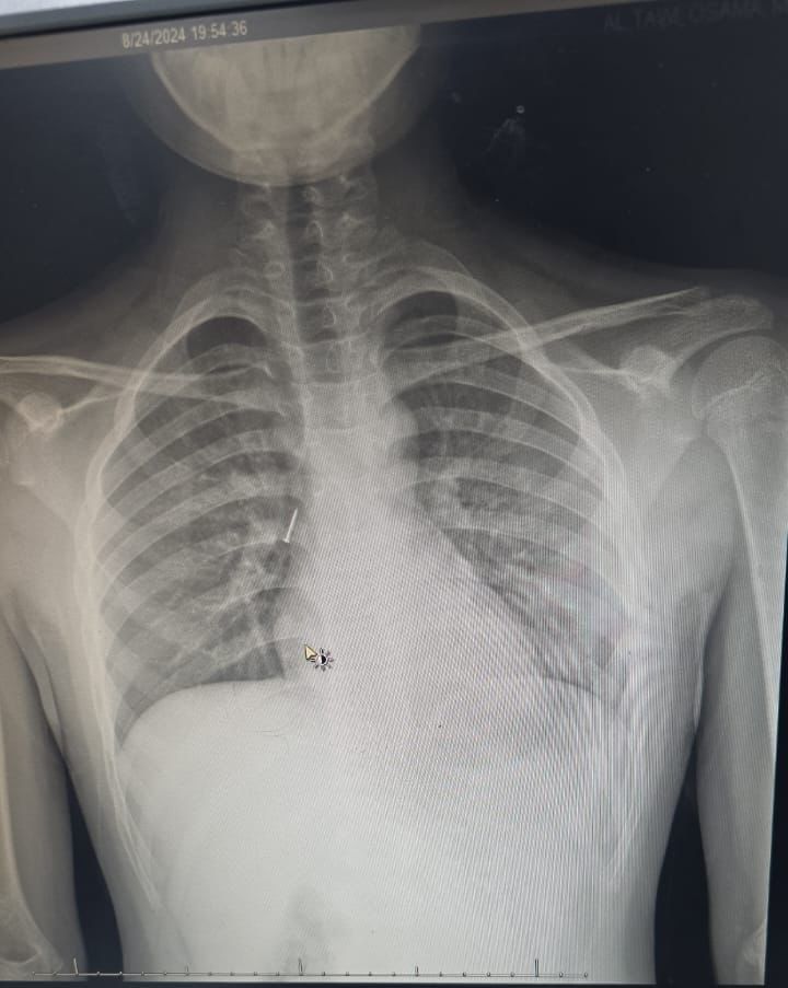
تمكن فريق طبي من قسم جراحة الأنف والأذن والحنجرة في  مستشفى الملك خالد  التابع لتجمع  تبوك  الصحي  بمنطقة  تبوك  من انقاذ حياة طفل في العاشرة من عمره ابتلع مسماراً معدنياً مما تسبب له في ضيق في التنفس في الجهة اليمنى من الرئة وتضييق في الصدر.

وقال الفريق الطبي المعالج بأن الطفل وصل للطوارئ وكان يعاني من آلام شديدة في الحلق وضيق في التنفس وتم وضعه على الأكسجين بعد أن تم قياس العلامات الحيوية له , وبعد تقييم الحالة من قبل أخصائي الطوارئ وأخصائي الأطفال وأخصائي الأنف والأذن والحنجرة تقرر نقل الطفل إلى العناية المركزة للأطفال كما تم عمل أشعة مقطعية دقيقة على الشعب الهوائية حددت مكان المسمار المعدني بدقة.

وأكد الفريق الطبي المعالج بأنه تقرر على الفور إجراء عملية عاجلة لاستخراج المسمار المعدني بمنظار الشعب الهوائية تحت تخدير كامل للطفل من قبل فريق جراحة الأنف والأذن والحنجرة والتي تكللت ولله الحمد بالنجاح ولقد استغرق إجراء العملية ساعة كاملة, بعدها خرج الطفل من المستشفى وهو يتمتع بصحة جيدة ,مع المتابعة في عيادة الأنف والأذن والحنجرة.